หมอมนูญเผย พบคนไข้ลมเข้าสมองจากการปิดจมูกปิดปากขณะจาม รายแรกของโลกในไทย
21 พ.ค. 2563 หมอมนูญ ลีเชวงวงศ์ แพทย์เฉพาะทางด้านโรคระบบการหายใจ โรงพยาบาลวิชัยยุทธ โพสต์เฟซบุ๊กแฟนเพจ หมอมนูญ ลีเชวงวงศ์ FC เปิดเผยว่า ลมเข้าสมองจากการปิดจมูกปิดปากขณะจาม รายแรกของโลกเกิดขึ้น 2 ครั้งในเวลาห่างกัน 3 ปีกว่า ซึ่งทำให้เกิด อาการพูดไม่ชัด หน้าข้างขวาเบี้ยว หูข้างซ้ายอื้อ มีเสียงดัง นอกจากลมจะรั่วเข้าสมองจากการบังคับไม่ให้จามออกทางปากและจมูกแล้ว ยังมีรายงานแรงดันสูงทำให้ปอดรั่ว แก้วหูทะลุ ผนังช่องคอทะลุ เส้นเลือดในสมองแตกได้อีกด้วย พร้อมเตือนด้วยว่า อย่าทำร้ายตัวเองด้วยการเอามือมาปิดจมูกและปากขณะจามเด็ดขาด! ซึ่งหมอมนูญได้โพสต์เล่ารายละเอียดดังนี้
ผู้ป่วยหญิงไทยอายุ 85 ปี เป็นโรคเบาหวานและไขมันสูง เมื่อวันที่ 14 ธันวาคม 2559 มาโรงพยาบาลด้วยอาการพูดไม่ชัด นึกคำพูดไม่ออก หูข้างซ้ายอื้อ มีเสียงดัง หลังจากจามแล้วเอามือปิดจมูกปิดปากพร้อมๆกัน ได้ทำ MRI คลื่นแม่เหล็กสมอง พบมีลม (air pocket)ในเนื้อสมองข้างซ้ายขนาด 7 × 4 × 3.2 เซนติเมตร ให้การรักษาตามอาการ ผู้ป่วยดีขึ้นช้าๆ และกลับมาเป็นปกติ ทำคอมพิวเตอร์สมองซ้ำ ลมคงค่อยๆดูดซึมเข้าไปในกระแสเลือด หายไปเองภายใน 50 วัน ได้เตือนผู้ป่วยเวลาจามห้ามเอามือมาปิดจมูกและเม้มปากอีกเด็ดขาด
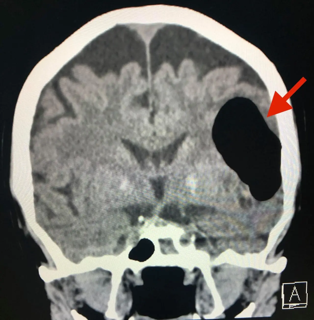
วันที่ 14 พฤษภาคม 2563 ผู้ป่วยกลับมารพ.อีกครั้งหลังจากจามแล้วเอามือปิดปากปิดจมูกเพราะไม่อยากให้มีเสียงดัง หลังทำมีอาการพูดไม่ชัด หน้าข้างขวาเบี้ยว หูข้างซ้ายอื้อ มีเสียงดัง ทำคอมพิวเตอร์สมองพบลม (air pocket) ในเนื้อสมองข้างซ้ายขนาด 5.1 × 4.1 × 2.8 เซนติเมตร (ดูรูป) ตำแหน่งเดิมเหมือนเมื่อ 3 ปี 5 เดือนก่อน แต่ปริมาตรของลมในเนื้อสมองครั้งนี้น้อยกว่า ผู้ป่วยนอนในโรงพยาบาล 4 วัน อาการดีขึ้นช้าๆ กลับบ้านได้
สาเหตุของลมเข้าสมองทั้ง 2 ครั้งของผู้ป่วยรายนี้ คือจามแล้วเอามือปิดจมูกปิดปากพร้อมๆกัน ปกติความแรงของการจามทำให้ลมพุ่งออกจากจมูกและปากด้วยความเร็วสูงถึง 110 กม/ชม เนื่องจากผู้ป่วยรายนี้ปิดจมูกปิดปากขณะจาม แรงดันในช่องปากคงสูงมาก ลมผ่านจากท่อในปากเข้าหูชั้นกลางด้านซ้าย แล้วดันทะลุผ่านกระโหลกใต้สมองเข้าเนื้อสมองด้านซ้าย
นอกจากลมจะรั่วเข้าสมองจากการบังคับไม่ให้จามออกทางปากและจมูกแล้ว ยังมีรายงานแรงดันสูงทำให้ปอดรั่ว แก้วหูทะลุ ผนังช่องคอทะลุ เส้นเลือดในสมองแตกได้อีกด้วย
เพราะฉะนั้นอย่าทำร้ายตัวเองด้วยการเอามือมาปิดจมูกและปากขณะจามเด็ดขาด
ลมเข้าสมองจากการเอามือปิดจมูกปิดปากขณะจาม รายแรกของโลกเกิดขึ้น 2 ครั้งในเวลาห่างกัน 3 ปีกว่า ผู้ป่วยหญิงไทยอายุ 85 ปี...
โพสต์โดย หมอมนูญ ลีเชวงวงศ์ FC เมื่อ วันพุธที่ 20 พฤษภาคม 2020
อ้างอิงจาก: หมอมนูญ ลีเชวงวงศ์ FC
https://web.facebook.com/photo?fbid=1635683513265073&set=pcb.1635683669931724
นกเอี้ยงสาริกา จากนกมงคลแดนสยาม สู่มหันตภัยมีปีกแห่งออสเตรเลีย
8 ดอกไม้ห้ามไหว้พระ
10 ที่เที่ยวลับในไทย สวยระดับโลก แต่คนยังไปไม่เยอะ
น้ำตกที่สวยที่สุดในประเทศไทย
ตึกที่มีความสูงมากกว่า 80 ชั้น เพียงแห่งเดียวเท่านั้นในไทย
เปิดวาร์ป 5 จังหวัด ค่าครองชีพถูกม๊าก แต่คุณภาพชีวิตดีเว่อร์
เปิดแอร์ 24 ชม. จ่ายกี่บาท?
อยู่ดี ๆ คนก็แห่ไปลาว…สัญญาณบางอย่างกำลังจะเกิดขึ้น?
ประเทศที่ถือครองทองคำสำรองน้อยที่สุดในอาเซียน
จังหวัดที่พูดภาษาเขมรมากที่สุดในประเทศไทย
10 โรงเรียนเอกชน ที่เก่าแก่สุดในประเทศไทย
มหาวิทยาลัยและสาขา ที่ค่าเรียนแพงที่สุดในประเทศไทย
เครื่องบินรบรุ่นสุดทันสมัย ที่กองทัพของไทยต้องการซื้อมากที่สุด
ขยี้ตาตื่นมาตั้งกระทู้! สรุปว่า "ผู้ดูแลเว็บ Postjung" นอนบ้างไหม? หรือว่าที่แท้เป็น AI!? 🤣
การเล่นสะบ้า ยังมีใครจำได้กันบ้าง
โรงพยาบาลที่ดีที่สุดในประเทศไทย
ถ้าดวงอาทิตย์หายไปจะเกิดอะไรขึ้น ??
น้ำตกที่สวยที่สุดในประเทศไทย
"ปราโบโว" เข้าพบ "ปูติน" กระชับความสัมพันธ์ อินโด-รัสเซีย!
คนจีนซื้อหนังไทยไปรีเมกใหม่ รายได้ถล่มทลายระดับพันล้าน
กระทรวงวัฒนธรรม "เขมร" ประกาศลั่น "วาฟเฟิล" คือขนมโบราณประจำชาติ งานนี้ต้นตำรับยุโรปถึงกับกุมขมับ
ก๊อปก็คือก๊อป สงกรานต์ไทยโดนแปลพัง “รดน้ำดำหัว” กลายเป็น “รดน้ำที่หัว”


