"อวสานอาหารทุกมื้อ" เมื่อผู้ป่วยมาปรึกษาเรื่องกลิ่นปาก หมอต้องผงะแทบไม่เชื่อสายตา!!
โพสท์โดย Goddess Sloth
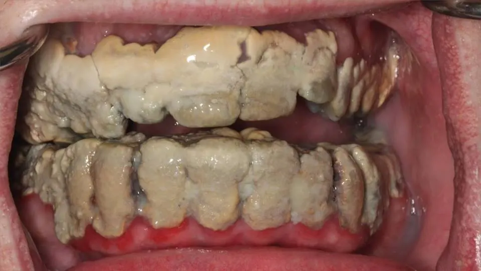
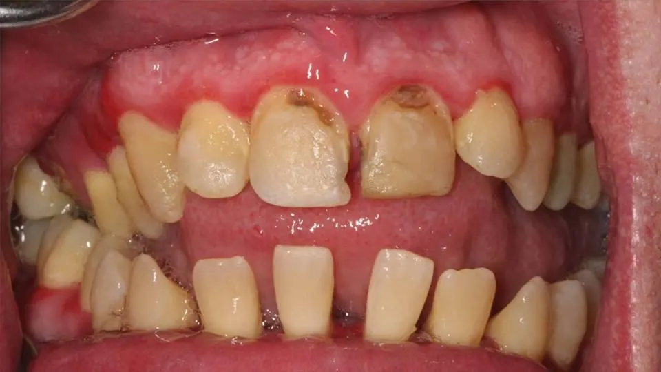
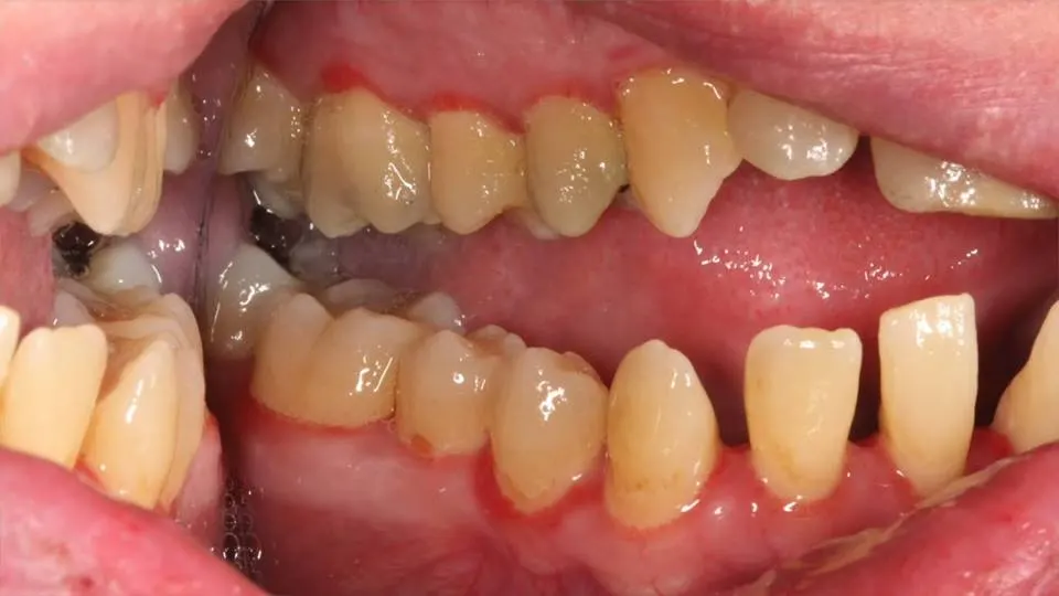
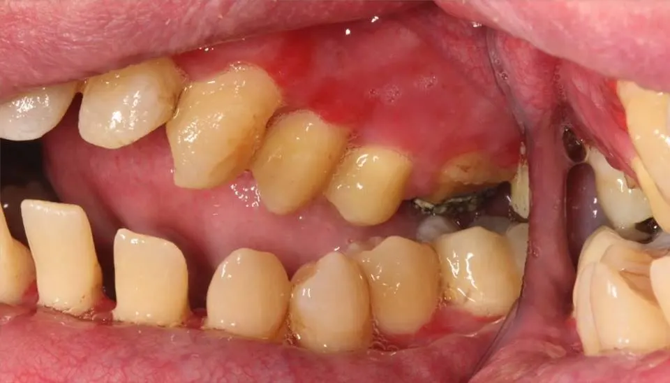
ผู้ป่วยรายหนึ่งเดินทางมาที่โรงพยาบาล เพื่อปรึกษากับทันตแพทย์ เรื่องกลิ่นปาก หลังเพื่อนของเขาวิจารณ์เรื่องกลิ่นปากเหม็น และตัวเองก็มีโรคเหงือกอักเสบเรื้อรังมายาวนาน
จากนั้นคณหมอก็ถามว่า ผู้ป่วยแปรงฟันครั้งล่าสุดเมื่อไร เขาบอกกับคุณหมอว่า แปรงฟันครั้งสุดท้ายเมื่อ 20 ปีที่แล้ว จากนั้นคุณหมอได้เชิญผู้ป่วยขึ้นเตียงพร้อมกับอธิบายว่าผู้ป่วยต้องขูดหินปูนนะ
และต่อไปนี้ ผู้ป่วยต้องมั่นรักษาเรื่องความสะอาดในช่องปากนะ นี่เห็นไหม มันสะสมมายาวนาน จนหินปูนหนาอย่างกับผนังถํ้าเลย
Cr : Thai TV social
โพสท์โดย: Goddess Sloth
เป็นกำลังใจให้เจ้าของกระทู้โดยการ VOTE และ SHARE
4 VOTES (4/5 จาก 1 คน)
VOTED: bgs
Hot Topic ที่น่าสนใจอื่นๆ
ราชกิจจาฯ เผยแพร่ คำสั่งศาลให้ นักแสดงรุ่นใหญ่ “มยุรฉัตร เหมือนประสิทธิเวช” ผู้จัดดัง เป็นคนไร้ความสามารถ
ชายชาวเท็กซัส 2 คน ถูกจับหลัง วางแผนบุกยึดเกาะ เพื่อฆ่าข่มขืนคนทั้งเกาะ
ผู้โดยสารหญิงชาวจีนโดนจับเพราะ "ถ่ายรูป" จากหน้าต่างเครื่องบินที่นอร์เวย์
แม้แต่ผู้สร้างยังเจอผลกระทบ! ทรัพย์สินของ Satoshi Nakamoto ลดลงกว่าล้านล้านบาทในเวลาเพียงเดือนเดียว
"โดนัลด์ ทรัมป์" หัวร้อนจัดหลังเกือบเสียท่าในเกมการเมืองกับกัมพูชา จนทำให้ไทยเกือบหันไปซบจีน ปิดทางทะเล ดับฝัน ฮุนเซน ที่จะมีทางออกทะเลเสรีพังทะลายลงทันที
เคยเอ๊ะๆกันไหม ทำไมถึงเรียกว่า "เย็นตาโฟ" ทั้งที่มันก็ร้อนอยู่นะ ทำไมในเมนูนี้ถึงมีคำว่า "เย็น" กันน๊า ?
เวย์โพสต์ “วันที่ยากนี่แหละ จะเห็นว่าใครคือครอบครัวจริง เพื่อนแท้ คู่ชีวิต หรือแค่คนผ่านทาง”
ดราม่าเดือด นครสวรรค์! ตำรวจจอดรถไม่ดับเครื่อง เสียงดังจนแม่ค้าทนไม่ไหว เดินออกมาให้ตำรวจดับเครื่อง เนื่องจากมีแม่ป่วยอยู่ในร้าน
บัญชาการตำรวจตระเวนชายแดน สั่งระดมกำลัง ตชด. กว่า 2,000 นาย ลุยชายแดน เขมรหนีหวาดกลัว หลังไทย ส่ง F-16 ลาดตระเวนปราสาทตาควาย
10 เลขขายดี "สลากพารวย" งวดวันที่ 1 ธันวาคม 68..ส่องเลย เลขไหนมาแรง!!
งิ้วในการแสดง: โครงสร้างอันศักดิ์สิทธิ์
"พระมหามัยมุนี" พระพุทธรูปศักดิ์สิทธิ์คู่บ้านคู่เมืองของประเทศพม่า เพื่อนบ้านเรานี่เองจ้าHot Topic ที่มีผู้ตอบล่าสุด
"ปู มัณฑนา" โพสต์ถึง "ดารา น." ติดหนี้ 400 ล้าน...ถูกเพจดังเล่นงานเหมือนตัวเองเป๊ะ!
ทหารเขมร สุดห้าว โพสต์ภาพ พร้อมแคปชั่น อยากสอยโดรนพวกเสียม
เวย์โพสต์ “วันที่ยากนี่แหละ จะเห็นว่าใครคือครอบครัวจริง เพื่อนแท้ คู่ชีวิต หรือแค่คนผ่านทาง”
แม้แต่ผู้สร้างยังเจอผลกระทบ! ทรัพย์สินของ Satoshi Nakamoto ลดลงกว่าล้านล้านบาทในเวลาเพียงเดือนเดียว
ดราม่าเดือด นครสวรรค์! ตำรวจจอดรถไม่ดับเครื่อง เสียงดังจนแม่ค้าทนไม่ไหว เดินออกมาให้ตำรวจดับเครื่อง เนื่องจากมีแม่ป่วยอยู่ในร้าน
เปิดคำตอบรอบ 5 คนสุดท้าย ใครพูดได้ใจมากที่สุดกระทู้อื่นๆในบอร์ด
ข่าววันนี้
เขมรซ็อก จีนเทลดสัดส่วนหุ้น คลองฟูนันเตโช เหลือ 49% กู้เงินลุยเอง เกือบ 2 หมื่นล้าน
แขมร์ไทมส์ รายงาน เขมรเดินหน้าขุดลอก “โครงการคลองฟูนันเตโช” เสร็จในปี 2571
"โบว์ เมลดา" สวยตลก ไม่เคยตายไมค์ เปิดเส้นทางจาก Kiss Me Five ชีวิตพลิกผันหลังชนะเลิศ ไทยซุปเปอร์โมเดลคอนเทสต์ 2013"
ดราม่าเดือด นครสวรรค์! ตำรวจจอดรถไม่ดับเครื่อง เสียงดังจนแม่ค้าทนไม่ไหว เดินออกมาให้ตำรวจดับเครื่อง เนื่องจากมีแม่ป่วยอยู่ในร้าน






