สุดช็อก ลูกสาวกลับจากเมืองนอก ไม่กักตัว ทำแม่ติดเชื้อ อาการหนัก ระบบหายใจล้มเหลว
เขียนโดย NIXA
วันที่ 6 เมษายน 63 ผศ.นพ.(พิเศษ)โอภาส พุทธเจริญ หัวหน้าศูนย์ความเป็นเลิศทางการแพทย์ โรคอุบัติใหม่ด้านคลินิก รพ.จุฬาลงกรณ์ ได้โพสต์ข้อความเกี่ยวกับการแพร่ระบาดของเชื้อโควิด-19 เรื่องราวช็อกผ่านเฟสบุ๊ค Opass Putcharoen กรณีลูกกลับจากต่าประเทศไม่กักตัว ทำแม่ติดโควิดอาการหนักว่า
การส่งผ่านเชื้อแบบไม่ได้ตั้งใจให้คนรอบข้าง
การติดต่อของโรคโควิดเกิดขึ้นได้ง่ายมาก เดิมเคยเชื่อว่าการติดต่อเกิดหลังจากที่คนไข้มีอาการแล้วเหมือนโรค SARS

แต่ข้อมูลในปัจจุบันเชื้อไวรัสนี้อาจติดต่อผ่านได้จากคนที่ติดเชื้อแต่ไม่มีอาการ หรือก่อนที่จะมีอาการ (asymptomatic transmission และ presymptomatic transmission) ดังนั้นหากกลับมาจากต่างประเทศแม้ว่าไม่มีความผิดปกติอะไรเลยควรกักตัวอย่างเคร่งครัดเป็นเวลา 14 วัน อย่าเข้าใจว่าไม่มีอาการคือไม่ติดเชื้อ
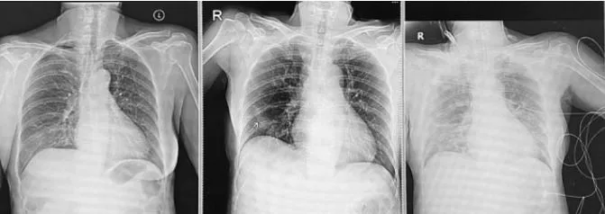
เคสคุณป้าคนหนึ่งอยู่บ้านสบายดี ติดเชื้อโควิดจากลูกสาวที่เดินทางมาจากต่างประเทศแต่ไม่ระวังเรื่องการกักตัวเพราะคิดว่าตัวเองยังไม่มีอาการไม่น่าป่วย เลยไปอยู่ด้วยกันตามปกติ แต่แยกตัวออกไปหลังจากที่ลูกสาวเริ่มมีอาการเหมือนเป็นหวัด แต่ก็ไม่ทันการ วันที่มาตรวจคุณป้ามีอาการคล้ายเป็นหวัดมา 6 วัน

เอกซเรย์ปอดยังปกติ อีกวันถัดมาอาการปอดอักเสบชัดขึ้น คนไข้หายใจเหนื่อยจนระบบหายใจล้มเหลวอย่างรวดเร็วและใส่ท่อช่วยหายใจ ย้ายเข้าห้องไอซียู คนไข้อาการหนักมาก เข้าใจความรู้สึกของลูกที่รู้ทีหลังว่าแม่ตัวเองต้องมานอนไอซียูเพราะไม่ระวังเรื่องการกักตัว
ต้องรู้นะครับว่าเราอาจจะทำให้คนในครอบครัวที่เรารักป่วยจากความไม่เข้าใจและไม่มีระเบียบวินัย หากกลับมาจากต่างประเทศต้องกักตัวจนครบ 14 วันครับ
เพราะหลังจาก 14 วัน แม้ว่าติดเชื้อจะมีโอกาสแพร่กระจายเชื้อได้น้อย อาจจะทำยากแต่มีความจำเป็นอย่างยิ่งครับ เพราะเคสใหม่ตอนนี้ส่วนใหญ่เป็นเคสที่เดินทางกลับจากต่างประเทศ
คณะที่เรียนยากที่สุด แต่คุ้มค่าที่สุดในระยะยาว
5 จังหวัดที่กำลังจะกลายเป็นเมืองหลวงแห่งที่ 2 จังหวัดไหนพุ่งแรงสุด
15 ลักษณะของคนที่มี EQ ต่ำ
คนเป็นแสน แย่งชิงตำแหน่งงานเพียง 1,000 ตำแหน่ง
ประเทศที่งบทางการทหาร มากที่สุดในโลก
สิทธิจริงของ "เจ้าบ้าน" vs "เจ้าของบ้าน" ต่างกันอย่างไร ใครใหญ่กว่ากันแน่?
10วิทยาลัยที่น่าเรียนที่สุดในประเทศไทย
เผย 10 อันดับเครื่องใช้ไฟฟ้าที่กินไฟมากที่สุด..อันดับที่ 1 ไม่ใช่แอร์!
ทำไม 2 อำเภอในไทยถึงไม่มีร้านเซเว่น
นิสัยจากวันเกิด
“จังหวัดไหนในไทย น่าอยู่ที่สุดในปีนี้?”
เกาะที่ไม่มีรถยนต์
รวม 10 ที่เที่ยวฮ่องกงสวยๆในปี 2026
เกาะที่ไม่มีรถยนต์


