สาวกลับจากเมืองนอก พาเชื้อมาติดแม่ รักษาตัวในไอซียู
เขียนโดย NIXA
ผศ.นพ.โอภาส พุทธเจริญ จากหน่วยโรคติดเชื้อ ภาค
การส่งผ่านเชื้อแบบไม่ได้ตั้งใจให้คนรอบข้าง
การติดต่อของโรคโควิดเกิดขึ้นได้ง่ายมาก เดิมเคยเชื่อว่าการติดต่อเกิดหลังจากที่คนไข้มีอาการแล้วเหมือนโรค SARS
แต่ข้อมูลในปัจจุบันเชื้อไวรัสนี้อาจติดต่อผ่านได้จากคนที่ติดเชื้อแต่ไม่มีอาการ หรือก่อนที่จะมีอาการ (asymptomatic transmission และ presymptomatic transmission)ดังนั้นหากกลับมาจากต่างประเทศแม้ว่าไม่มีความผิดปกติอะไรเลยควรกักตัวอย่างเคร่งครัดเป็นเวลา 14 วัน อย่าเข้าใจว่าไม่มีอาการคือไม่ติดเชื้อ
เคสคุณป้าคนหนึ่งอยู่บ้านสบายดี ติดเชื้อโควิดจากลูกสาวที่เดินทางมาจากต่างประเทศแต่ไม่ระวังเรื่องการกักตัวเพราะคิดว่าตัวเองยังไม่มีอาการไม่น่าป่วย เลยไปอยู่ด้วยกันตามปกติ แต่แยกตัวออกไปหลังจากที่ลูกสาวเริ่มมีอาการเหมือนเป็นหวัด แต่ก็ไม่ทันการ
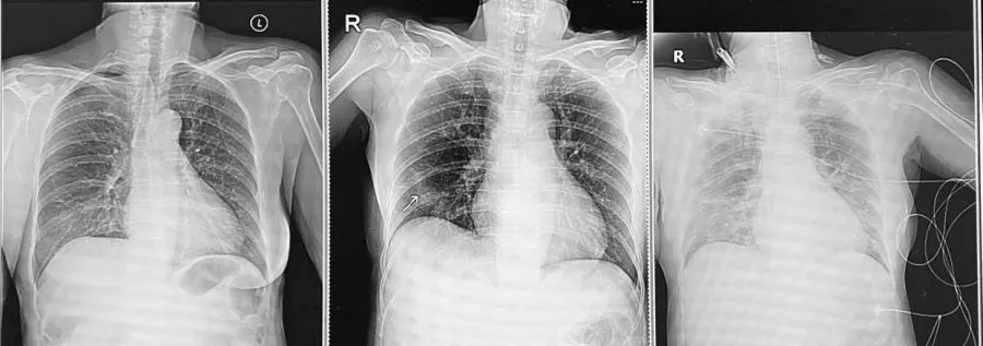
วันที่มาตรวจคุณป้ามีอาการคล้ายเป็นหวัดมา 6 วัน เอกซเรย์ปอดยังปกติ อีกวันถัดมาอาการปอดอักเสบชัดขึ้น คนไข้หายใจเหนื่อยจนระบบหายใจล้มเหลวอย่างรวดเร็วและใส่ท่อช่วยหายใจ ย้ายเข้าห้องไอซียู คนไข้อาการหนักมาก เข้าใจความรู้สึกของลูกที่รู้ทีหลังว่าแม่ตัวเองต้องมานอนไอซียูเพราะไม่ระวังเรื่องการกักตัว
ต้องรู้นะครับว่าเราอาจจะทำให้คนในครอบครัวที่เรารักป่วยจากความไม่เข้าใจและไม่มีระเบียบวินัย หากกลับมาจากต่างประเทศต้องกักตัวจนครบ 14 วันครับ เพราะหลังจาก 14 วัน แม้ว่าติดเชื้อจะมีโอกาสแพร่กระจายเชื้อได้น้อย อาจจะทำยากแต่มีความจำเป็นอย่างยิ่งครับ เพราะเคสใหม่ตอนนี้ส่วนใหญ่เป็นเคสที่เดินทางกลับจากต่างประเทศ
อ้างอิงจาก: FB : Opass Putcharoen
คนเป็นแสน แย่งชิงตำแหน่งงานเพียง 1,000 ตำแหน่ง
“จังหวัดไหนในไทย น่าอยู่ที่สุดในปีนี้?”
15 ลักษณะของคนที่มี EQ ต่ำ
คณะที่เรียนยากที่สุด แต่คุ้มค่าที่สุดในระยะยาว
10วิทยาลัยที่น่าเรียนที่สุดในประเทศไทย
5 จังหวัดที่กำลังจะกลายเป็นเมืองหลวงแห่งที่ 2 จังหวัดไหนพุ่งแรงสุด
ไม้มงคลที่ควรปลูกมากที่สุด
ประเทศที่งบทางการทหาร มากที่สุดในโลก
เกาะที่ไม่มีรถยนต์
เผย 10 อันดับเครื่องใช้ไฟฟ้าที่กินไฟมากที่สุด..อันดับที่ 1 ไม่ใช่แอร์!
จังหวัดในภาคกลางของไทยที่มีป่าไม้มากที่สุด
สิทธิจริงของ "เจ้าบ้าน" vs "เจ้าของบ้าน" ต่างกันอย่างไร ใครใหญ่กว่ากันแน่?
รวม 10 ที่เที่ยวฮ่องกงสวยๆในปี 2026
เกาะที่ไม่มีรถยนต์



