หญิงวัย 57 ปี ป่วยเป็นมะเร็งเพราะสวมเสื้อโค้ตของพ่อในวัยเด็ก
เขียนโดย ผู้แข็งแกร่งไร้เทียมทาน
"เฮเธอร์ วอน เซนต์ เจมส์" กล่าวว่า "ในช่วงวัยเด็ก เมื่ออากาศหนาว ฉันมักจะหยิบเสื้อแจ็กเก็ตของพ่อที่แขวนอยู่ข้างประตูไปสวม ก่อนจะออกไปให้อาหารกระต่ายที่เลี้ยงไว้ ซึ่งฉันไม่เคยรู้เลยว่า เสื้อโค้ตผ้าซาตินสีน้ำเงินเข้มตัวนั้น ซึ่งพ่อของเธอสวมใส่ไปทำงานก่อสร้างในช่วงทศวรรษ 1980 จะเต็มไปด้วยฝุ่นจากไซต์งาน นอกจากนี้ยังมีกลิ่นน้ำหอมของพ่อที่ฉันคุ้นเคย"
"เฮเธอร์ วอน เซนต์ เจมส์" กล่าวอีกว่า "ฉันชอบใส่มันมาก แต่ฉันไม่เคยคาดคิดเลยว่าเสื้อตัวนั้น จะเป็นอันตรายต่อชีวิตของฉันในภายหลัง" ภายหลังเธอจึงทราบว่า ฝุ่นดังกล่าวคือ "แร่ใยหิน"
"เฮเธอร์ วอน เซนต์ เจมส์" อาศัยอยู่ในรัฐมินนิโซตา ประเทศอเมริกา เริ่มมีอาการผิดปกติเมื่ออายุ 36 ปี ขณะตั้งครรภ์ลูกคนแรก โดยในตอนแรกเธอคิดว่าเป็นเพียงอาการทั่วไปหลังคลอด หลังจากผ่าคลอด เธอกลับไปทำงานเป็นช่างทำผม และ เจ้าของร่วมร้านเสริมสวยอย่างรวดเร็ว แต่เริ่มมีอาการอ่อนเพลียตลอดเวลา และมีไข้ รวมถึงรู้สึกเหมือนมีรถบรรทุกมาทับอยู่บนหน้าอก...
"เฮเธอร์ วอน เซนต์ เจมส์" กล่าวว่า "หลังจากนั้นไม่กี่สัปดาห์ ฉันรู้สึกว่ามีบางอย่างผิดปกติ ฉันจึงส่งรูปถ่ายของฉันกับลูกให้พี่สาวดู ซึ่งพี่สาวตกใจมากและบอกให้รีบไปหาหมอทันที..."
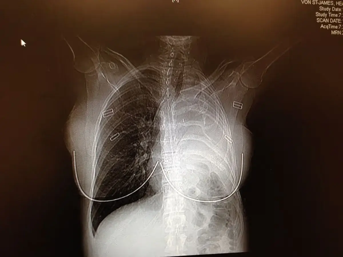
หลังจาก "เฮเธอร์ วอน เซนต์ เจมส์" เข้ารับการตรวจหลายอย่าง รวมถึงการสแกน CT แพทย์พบเนื้องอกใกล้ปอด และ ภายใน 2 สัปดาห์ก็ได้รับการวินิจฉัยว่าเป็น "มะเร็งเยื่อหุ้มปอดชนิดเมโซเธลิโอมา" ซึ่งเป็นมะเร็งรุนแรงที่เกิดจากการสัมผัสแร่ใยหิน
"เฮเธอร์ วอน เซนต์ เจมส์" กล่าวว่า "ตอนนั้นฉันไม่เคยได้ยินชื่อโรคนี้มาก่อนเลย"
แพทย์ถาม "เฮเธอร์ วอน เซนต์ เจมส์" ว่า "คุณหรือคนในครอบครัวเคยทำงานเกี่ยวข้องกับแร่ใยหินหรือไม่?" ซึ่งคำถามดังกล่าวทำให้สามีของ "เฮเธอร์ วอน เซนต์ เจมส์" รู้ทันทีว่าสถานการณ์นี้ร้ายแรงมาก!! แพทย์แจ้งว่า "หากไม่เข้ารับการผ่าตัดครั้งใหญ่ คุณอาจมีชีวิตอยู่ได้เพียงประมาณ 15 เดือน"
อย่างไรก็ตาม "เฮเธอร์ วอน เซนต์ เจมส์" ไม่ยอมแพ้และตัดสินใจต่อสู้กับโรคอย่างเต็มที่ โดยเธอถูกส่งตัวไปพบผู้เชี่ยวชาญในเมืองบอสตัน และ ต้องเข้ารับการผ่าตัดใหญ่ โดยแพทย์ได้ตัดซี่โครงออก 1 ซี่ ปอดซ้าย เยื่อหุ้มปอด เยื่อหุ้มหัวใจ และ บางส่วนของกระบังลมออก ก่อนจะใช้วัสดุสังเคราะห์ทดแทน และ หลังการผ่าตัด เธอได้รับเคมีบำบัดแบบให้ความร้อนในช่องอก รวมถึงเคมีบำบัดและการฉายรังสีเพิ่มเติม ซึ่งผลการรักษาประสบความสำเร็จ โดยไม่พบเซลล์มะเร็งหลงเหลืออยู่ และ เธอก็ปลอดมะเร็งมาจนถึงปัจจุบัน...
ปัจจุบัน "เฮเธอร์ วอน เซนต์ เจมส์" ทำงานด้านการรณรงค์ และ ให้ความช่วยเหลือผู้ป่วยโรคที่เกี่ยวข้องกับแร่ใยหิน โดยเดินทางไปให้ความรู้ทั่วโลก ถึงแม้เธอจะรอดชีวิต แต่การใช้ชีวิตด้วยปอดเพียงข้างเดียวก็ยังมีข้อจำกัด เธอไม่สามารถวิ่งได้ เหนื่อยง่ายเมื่อขึ้นที่สูงหรือบันได และ ต้องพึ่งพาลูกชายในบางเรื่อง
"เฮเธอร์ วอน เซนต์ เจมส์" กล่าวว่า "แม้หลายคนจะคิดว่าหลังหายจากมะเร็งแล้ว ชีวิตควรจะดีขึ้นทั้งหมด แต่ความจริงแล้ว มันยังมีผลกระทบทางร่างกายหลงเหลืออยู่มาก..."
พ่อของ "เฮเธอร์ วอน เซนต์ เจมส์" เสียชีวิตในปี 2014 จากมะเร็งไต ซึ่งแพทย์เชื่อว่า "อาจเกี่ยวข้องกับการสัมผัสแร่ใยหินเช่นกัน" อย่างไรก็ตาม "เฮเธอร์ วอน เซนต์ เจมส์" ยังคงมุ่งมั่นใช้ชีวิตเพื่อ "สร้างความหวัง" ให้กับผู้อื่น โดยชี้ให้เห็นว่า "การแพทย์ในปัจจุบันมีความก้าวหน้ามากขึ้นอย่างมาก!!"
"เฮเธอร์ วอน เซนต์ เจมส์" กล่าวว่า "การมีชีวิตอยู่ได้นานกว่า 20 ปี หลังการวินิจฉัยโรคนี้ ถือเป็นเรื่องที่พบได้ยากมาก!!" และ "ฉันยังคงประหลาดใจที่ตัวเอง ยังมีชีวิตอยู่ 20 ปีต่อมา" และ "การได้มอบความหวังให้ผู้อื่น ว่าเราสามารถผ่านมันไปได้ คือสิ่งที่มีคุณค่าอย่างยิ่ง!!"
อ้างอิง : https://www.mirror.co.uk/news/health/lung-cancer-symptoms-causes-asbestos-37030300
เขียนโดย ผู้แข็งแกร่งไร้เทียมทาน
ใช้คอมมาทั้งชีวิตเพิ่งรู้! ขีดนูนบนปุ่ม F และ J มีไว้ทำไม?
โรงเรียนเอกชนชื่อดังและเก่าแก่ที่ปิดกิจการไปแล้ว
วิเคราะห์เลขเด่น แม่น้ำหนึ่ง 16/5/69
พัดลมทำไมต้องมี 3 ใบพัด? ไขความจริงที่หลายบ้านไม่เคยรู้
อำเภอในประเทศไทยที่ยังไม่มีร้าน 7-Eleven เปิดให้บริการ
คณะไหนมีนักศึกษาลาออกกลางทาง มากที่สุด?
ใช้ปลั๊กไฟมาทั้งชีวิต เพิ่งรู้ ว่ารูเล็กๆ บนขา มีไว้ทำแบบนี้นี่เอง
มหาวิทยาลัยที่ได้งบประมาณมากที่สุดในประเทศไทย
รวม เลขปฏิทินจีน งวด 16/5/69
"Tupai King" ราชาของทุเรียนที่มีรสชาติเอร็ดอร่อย และหาทานได้ยากที่สุดชนิดหนึ่ง
10 เลขขายดี "จำเนียรอ่อนนุช" งวดวันที่ 16 พฤษภาคม 69..ส่องด่วน เลขไหนมาแรง!!
มหาวิทยาลัยรัฐที่คนสมัครเยอะ ทำไมเด็กไทยยังเลือกกลุ่มนี้ก่อน
รู้หรือไม่!ประเทศไทยก็ปลูกแอปเปิ้ล ได้นะ
เปิดประวัติเครื่องหมาย # จากปุ่มโทรศัพท์ สู่สัญลักษณ์เปลี่ยนโลก!
รีวิวหนัง HONEST THIEF ทรชนปล้นชั่ว






