แม่สังเกตพบโรคร้ายของลูกชาย จากท่าทางการเดินที่ผิดปกติ
แม่สังเกตพบโรคร้ายของลูกชาย จากท่าทางการเดินที่ผิดปกติ
"เมแกน เวสต์" คุณแม่ที่อาศัยอยู่ในเมืองโคเวนทรี ประเทศอังกฤษ ได้ออกมากล่าวว่า "อาการผิดปกติแรกเริ่มของลูกชาย ปรากฏขึ้นตั้งแต่ช่วงปลายปี 2024 โดย "เอลเลียต" ซึ่งขณะนั้นมีอายุเพียง 4 ปี เริ่มเดินและวิ่งอย่างไม่มั่นคง เท้าทั้ง 2 ข้างบิดออกด้านนอก สะโพกแกว่งไปมา เข่าทั้ง 2 เกือบชิดกัน และ แขนแกว่งแรงผิดปกติ นอกจากนี้ "เอลเลียต" ยังมีอาการผิดปกติทางร่างกายอื่นร่วมด้วย...
ในช่วงหลายเดือนถัดมา "เมแกน เวสต์" สังเกตว่าลูกชายมีน้ำหนักลดลงอย่างชัดเจน รูปร่างซูบผอม และ ไม่ได้เปลี่ยนขนาดเสื้อผ้ามาเป็นเวลานาน "เอลเลียต" มีอาการเหงื่อออกตอนกลางคืนบ่อย ผิวซีด และ ป่วยด้วยการติดเชื้อทางเดินหายใจซ้ำๆอยู่เสมอ
"เมแกน เวสต์" เล่าว่า "ในระยะแรก ผลการตรวจพบว่า "ระบบประสาทของลูกยังปกติ กล้ามเนื้อยังแข็งแรง" แพทย์ประจำครอบครัวจึงมองว่า "ท่าทางการเดินที่แปลกไป อาจเป็นเพียงการเรียกร้องความสนใจจากพ่อแม่ เนื่องจากครอบครัวเพิ่งมีลูกสาวคนเล็กเพิ่มเข้ามา"
อย่างไรก็ตาม อาการของ "เอลเลียต" ทรุดลงอย่างรวดเร็วในเดือนมิถุนายน 2025 เมื่อเขาบ่นว่าขาทั้ง 2 ข้างไม่สามารถขยับได้ "เมแกน เวสต์" จึงรีบนำลูกส่งห้องฉุกเฉิน และ ได้รับการตรวจอย่างละเอียด ผลเอกซเรย์พบ "ต่อมน้ำเหลืองในปอดมีการกลายเป็นปูน" ซึ่งบ่งชี้ถึงการติดเชื้อเรื้อรังมาเป็นเวลานาน...
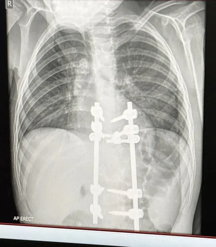
จากการตรวจเพิ่มเติมยืนยันว่า "เอลเลียตป่วยเป็นวัณโรคกระดูกสันหลัง ซึ่งเป็นวัณโรคนอกปอดชนิดรุนแรง โดยเชื้อวัณโรคไม่เพียงส่งผลต่อระบบทางเดินหายใจเท่านั้น แต่ยังลุกลามไปทำลายระบบกระดูก ก่อให้เกิดอาการทางระบบประสาทและการเคลื่อนไหวด้วย!!" และ "หลังการประเมินอย่างรอบคอบ แพทย์ได้ตัดสินใจผ่าตัดให้กับ "เอลเลียต" เพื่อคลายการกดทับของไขสันหลัง และ เสริมความมั่นคงให้กับโครงสร้างกระดูกสันหลัง"
"เมแกน เวสต์" กล่าวด้วยความกังวลว่า "ฉันไม่รู้เลยว่าผลลัพธ์สุดท้ายจะเป็นอย่างไร การผ่าตัดจะช่วยให้ลูกหายดีหรืออาจคร่าชีวิตเขาไป แต่หากไม่ผ่าตัด ความเสี่ยงต่อการเป็นอัมพาตถาวรนั้นสูงมาก!!"
การผ่าตัดครั้งแรกประสบความสำเร็จ "เอลเลียต" สามารถกลับมาเดินได้อีกครั้ง แต่ยังไม่ได้รับอนุญาตให้วิ่งหรือทำกิจกรรมหนัก นอกจากนี้เขายังต้องเข้ารับการผ่าตัดครั้งที่ 2 ภายใน 6 เดือนข้างหน้า หากรอยโรควัณโรคบนกระดูกสันหลังยังไม่ลดลง"
ซึ่งปัจจุบันปี 2026 ท่าทางการเดินของ "เอลเลียต" กลับมาเป็นปกติ และ อาการปวดหลังอย่างรุนแรงก็หายไปแล้ว
ข้อมูลจากองค์การอนามัยโลก ระบุว่า "วัณโรคยังคงเป็นหนึ่งในโรคติดเชื้อ ที่คร่าชีวิตผู้คนมากที่สุดทั่วโลก โดยมีผู้เสียชีวิตประมาณ 1.6 ล้านคนต่อปี" โดย นายแพทย์ ดร. "เทดรอส อัดฮานอม เกเบรเยซุส" ผู้อำนวยการใหญ่องค์การอนามัยโลก กล่าวว่า "เป็นเรื่องที่ไม่อาจยอมรับได้ที่วัณโรคยังคงคร่าชีวิต และ ทำให้ผู้คนจำนวนมากเจ็บป่วย ทั้งที่เรามีเครื่องมือเพียงพอในการป้องกัน ตรวจพบ และ รักษาโรคนี้..."
จากประสบการณ์ส่วนตัว "เมแกน เวสต์" กล่าวเน้นย้ำว่า "ผู้ปกครองควรหมั่นสังเกตอาการผิดปกติของบุตรหลานอย่างใกล้ชิด โดยเฉพาะเมื่ออาการเหล่านั้น เป็นอยู่นานและส่งผลต่อชีวิตประจำวัน" นอกจากนี้ เธอยังแนะนำให้พ่อแม่รับฟังลูกๆอย่างตั้งใจ และ สื่อสารกับบุคลากรทางการแพทย์อย่างสม่ำเสมอ และ อย่าเชื่อหมอเพียงคนเดียว...
อ้างอิง : https://cafef.vn/me-phat-hien-can-benh-dang-so-cua-con-trai-nho-quan-sat-dang-di-bat-thuong-188260115104921024.chn
วันนี้!! เครนอีกตัวถล่มทบรถยนต์ในไทย
สิบเลขขายดี สลากตัวเลขสามหลัก N3 งวด 17/1/69
10 เลขฮิต "OK ล็อตเตอรี่" งวดวันที่ 17 มกราคม 69..ส่องก่อน รวยก่อน!!
ห้างสรรพสินค้าในประเทศไทย ที่สวยงามและหรูหรามากที่สุด
เผยงานวิจัยล่าสุด! "โลก" กำลังถูก "ดวงจันทร์" ดูดชั้นบรรยากาศ..เพื่อสร้างอาณานิคมใหม่นอกโลก
เกิดเหตุยิงกันที่มินนิอาโพลิส
90% คนส่วนใหญ่ไม่รู้ว่า สามารถทำความสะอาดไมโครเวฟ ได้ด้วยมะนาวเพียงลูกเดียว
ไม่ใช่ 60! วิจัยชี้มนุษย์เริ่ม "แก่ลง" ตั้งแต่อายุเท่าไหร่? แอบช็อกร่างกายเสื่อมไวกว่าที่คิด
วันนี้!! เครนอีกตัวถล่มทบรถยนต์ในไทย





