เพจดังโพสต์เตือน! หลัง ปคบ.บุกจับ "สาวรับจัดฟันเถื่อนในรถ" ชี้ระวัง ฟันจะพังยับ-ฟันเรียงกันเป็นเส้นตรง
โพสท์โดย NgamYangThaiEveryday
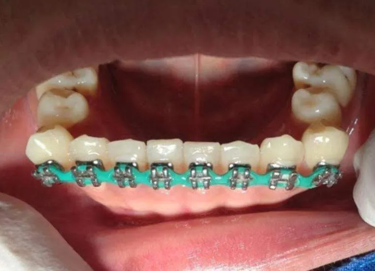
เพจดังโพสต์แฉ หลัง "ตำรวจบุกรวบคาเก๋ง" รับจัดฟันในรถยนต์ ยึดของกลางมูลค่ากว่า 5 หมื่นบาท พร้อมเตือนการจัดฟันเถื่อนเลี่ยงติเชื้อในช่องปาก จากอุปกรณ์ไม่ได้มาตรฐาน พร้อมระบุว่า ฟันเส้นตรงในตำนาน ปลายทางของคนที่จัดฟันแฟชั่น
คือปรกติโลหะที่ใช้ทำเหล็กจัดฟัน ไม่ใช่โลหะ ลวดทั่วไปแต่เป็น memory alloy โลหะผสมแบบพิเศษ ที่หมอฟันจะตั้งค่าได้ว่าให้มันมีรูปร่างยังไง แล้วค่อยๆดึงให้ฟันที่เก มันอยู่ในแนวระนาบที่หมอฟันต้องการ
แต่พวกจัดฟันแฟชั่น จะใช้ลวดทั่วไป หรือโลหะทั่วไปที่ไม่ใช่โลหะผสมแบบที่ว่า ซึ่งไม่มีความสามารถดังกล่าวผลคือ ใส่ไปแล้ว มันจะคืนตัว กลายเป็นเส้นตรง ซึ่งก็จะออกแรงดึงฟัน ให้กลายเป็นเส้นตรง หรือหยึกหยึยตามไปด้วยไอ้พวกที่ฟันปรกติๆแล้วมันไปใส่จัดฟันแฟชั่นกันเพื่อไรวะ
ความคิดชาวเน็ต
เป็นกำลังใจให้เจ้าของกระทู้โดยการ VOTE และ SHARE
10 VOTES (5/5 จาก 2 คน)
VOTED: taewsa, bgs
Hot Topic ที่น่าสนใจอื่นๆ
สิบเลขขายดีแม่จำเนียร งวด 16/11/68
เลขหวยน้อยชุดโค้งสุดท้าย 16 พ.ย. 2568 — เลขดังงวดนี้ตรงกันน้อยจริงไหม? รวมทุกกระแสมาให้แล้ว!
แนวทางเลขเด็ด แม่น้ำหนึ่ง งวด 16 พ.ย. 68 เตรียมลุ้นรวยกลางเดือน
🔮คุณเกิดวันไหน? มาทายนิสัย เปิดดวง ความรัก การเงิน ครบทั้ง 7 วันเกิด
เลขเด็ด "ปฏิทินคำชะโนด (ฉบับพิเศษ)" งวดวันที่ 16 พฤศจิกายน 68..วันนี้รวย รีบส่องเลย!!
ไทยระงับประกาศให้แรงงานกัมพูชาพาสปอร์ตหมดอายุอยู่ต่อ — ทำแรงงานสับสนทั้งประเทศ!
ราศีไหนธาตุอะไร ทำนายโรค แนะนำ อาหารที่กินตามธาตุ ปรับสมดุลเพื่อสุขภาพที่ดี ตอนที่ 2 ราศีกรกฏ-ราศีธนู
ราศีไหนธาตุอะไร ทำนายโรค แนะนำ อาหารที่กินตามธาตุ ปรับสมดุลเพื่อสุขภาพที่ดี ตอนที่ 1 ราศีมังกร-ราศีเมถุน
เอธิโอเปียยืนยัน การระบาดของ "ไวรัสมาร์บูร์ก" ที่รุนแรงแล้ว!!
นักวิเคราะห์การเมือง "กัมพูชา" กล่าวหา "ไทย" เป็นอาชญากรรมสงคราม..แนะรัฐบาลให้โต้กลับและบดขยี้เศรษฐกิจไทย
10 เลขขายดีใน จ.เชียงใหม่ งวดวันที่ 16 พฤศจิกายน 68..รีบส่องด่วน วันนี้รวย!!
ระทึกเช้ามืด!ไฟไหม้เรือประมงวอด คาดไฟฟ้าลัดวงจรเครื่องปั่นไฟHot Topic ที่มีผู้ตอบล่าสุด
นักวิเคราะห์การเมือง "กัมพูชา" กล่าวหา "ไทย" เป็นอาชญากรรมสงคราม..แนะรัฐบาลให้โต้กลับและบดขยี้เศรษฐกิจไทย
นักร้องดัง "ท็อดด์ สไนเดอร์" เสียชีวิตแล้ว
ระทึกเช้ามืด!ไฟไหม้เรือประมงวอด คาดไฟฟ้าลัดวงจรเครื่องปั่นไฟ
ราศีไหนธาตุอะไร ทำนายโรค แนะนำ อาหารที่กินตามธาตุ ปรับสมดุลเพื่อสุขภาพที่ดี ตอนที่ 2 ราศีกรกฏ-ราศีธนู
ทำไมกรุงเทพฯถึงน้ำไม่ท่วมแต่รอบนอกท่วม
เลขหวยน้อยชุดโค้งสุดท้าย 16 พ.ย. 2568 — เลขดังงวดนี้ตรงกันน้อยจริงไหม? รวมทุกกระแสมาให้แล้ว!












