"นพ.โอภาส" เผย ฟิล์มเอกซเรย์ปอด ผู้ป่วยโควิด พบปอดอักเสบหนักติดเชื้อโควิด แต่ไม่มีอาการ
เขียนโดย NIXA
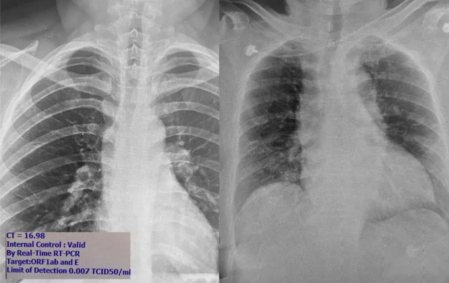
Walking spreader
รอบนี้คนไข้ไม่เหมือนเดิม
1. เชื้อแบ่งตัวได้ดีในจมูกและทางเดินหายใจ คนไม่มีอาการจะมีเชื้อในจมูกเยอะมากพร้อมที่จะแพร่กระจายเป็นวงกว้างเวลาไอ จามหรือพูด ในรูปภาพซ้าย ภาพถ่ายปอดผู้ที่ติดเชื้อที่ไม่มีอาการเลย เดินไปเดินมา ใช้ชีวิตเหมือนคนปกติ แต่เชื้อในจมูกค่า CT (cycle threshold) จากเครื่อง PCR บอกว่ามีปริมาณเชื้อในจมูกสูง มากเมื่อเทียบกับคนไข้ที่เคยเห็นในระลอกแรก ดังนั้นถ้าไม่ได้มาตรวจก็แพร่กระจายเชื้อคนอื่นได้อีกมาก
2. รูปขวา--เราเริ่มเห็นคนมีอาการไข้หวัดหรือปอดอักเสบมาที่โรงพยาบาล แต่ไม่ยอมบอกประวัติความเสี่ยงเพื่อปกปิดการเดินทาง แพทย์อาจไม่ได้ส่งตรวจหาโควิด เพราะคิดว่าเป็นปอดอักเสบจากเชื้ออื่นที่พบได้บ่อยกว่า
ดังนั้นถ้ามีประวัติไปที่เสี่ยงตัองแจ้งแพทย์เสมอเพื่อแยกออกไปจากคนไข้คนอื่นที่มีโอกาสติดแล้วมีอาการรุนแรงหรืออาจติดต่อไปยังหมอและพยาบาล
เมื่อวานมีคนไข้เป็นปอดอักเสบมาตรวจ แต่ไม่ยอมบอกประวัติความเสี่ยงแต่แพทย์เห็นฟิล์มผิดปกติเหมือนปอดอักเสบจากไวรัสเลยส่งตรวจโควิดและตรวจเจอเชื้อ พอเค้นซักประวัติอีกรอบถึงยอมรับว่าไปบ่อนมา ซึ่งเป็นบ่อนใน"กรุงเทพ"นี่เอง
โชคดีที่ดักเคสนี้ได้เร็ววินิจฉัยได้เร็ว การไม่บอกประวัติเสี่ยงอาจทำให้บุคคลากรทางการแพทย์อาจติดโควิด เพราะในบางครั้งถ้าการดูแลรักษาอาจต้องใช้การพ่นยาการใช้ออกซิเจนทำให้เชื้อกระจายฟุ้งในโรงพยาบาล โรงพยาบาลอาจจะขาดกำลังแพทย์พยาบาลเพื่อรักษาคนไข้อื่น
จังหวัดเพียงหนึ่งเดียวในไทย ที่มีพื้นที่ติดกับจังหวัดอื่นเพียงแห่งเดียว
7 ผลไม้ป่า ที่หายากที่สุดในประเทศไทย
10 อันดับแบรนด์กาแฟโลก แบรนด์ไทยก็ติดกับเขาด้วย
6 มหาวิทยาลัยเอกชนที่ POP ที่สุดในประเทศไทย
5 ประเทศที่คนกินเผ็ดมากที่สุดในโลก (คนไทยอันดับ3)
สว่างไว้ก่อน... ปลอดภัยกว่า! ทำไมผู้เชี่ยวชาญแนะนำให้ "เปิดไฟห้องน้ำ" ทิ้งไว้เมื่อนอนโรงแรม
ประเทศในอาเซียนที่มีค่าเงินต่ำที่สุด
จังหวัดในไทย ที่ยังไม่มี "มหาวิทยาลัยราชภัฏ" ตั้งในพื้นที่
"กงเป่าจีติง" ไก่ผัดเม็ดมะม่วงเวอร์ชันจีน
บริษัทเก่าแก่ที่สุดในประเทศไทย ที่ยังคงเปิดกิจการอยู่ในปัจจุบัน
6 จังหวัดในไทยที่เศรษฐกิจโตเร็วและน่าจับตาในรอบ 5 ปี
เงินบาทไทยไปประเทศไหนคุ้มสุด
อำเภอที่คนจีนนิยมที่สุด มีคนจีนมาเที่ยวมากที่สุดในประเทศไทย
ผู้โดยสารสุดซื่อ!! เมื่อโชเฟอร์บอกให้ช่วยคาดเข็มขัดหน่อย เธอจึงรีบลุกมาช่วย เเต่เขาหมายถึงคาดให้ตัวเองนะสาว
ราชบุรี – ชาวบ้านแห่!! ร่วมพิธีเททองหล่อหัวใจ “สมเด็จทวดโต พรหมรังสี” องค์ใหญ่ที่สุดในประเทศไทย
รีวิวโรงแรม 3 ดาว แต่เจอเสียง "ห้องข้างๆ" สนั่น! ชาวเน็ตแนะวิธีแก้เผ็ดสุดพีค
หนุ่มจีนซิ่งเก๋งเสียหลักพุ่งชนร้านไก่ทอดชื่อดัง ทำคนในร้านเจ็บระนาว
