ใครชอบกินหมูดิบต้องระวัง! คนงานก่อสร้างหมดสติถูกหามส่งรพ. หมอถึงกับอึ้งตรวจพบพยาธิตัวตืดมากกว่า 700 ตัว
เขียนโดย dusita
ใครชอบกินหมูดิบต้องระวัง! คนงานก่อสร้างหมดสติถูกหามส่งรพ. หมอถึงกับอึ้งตรวจพบพยาธิตัวตืดมากกว่า 700 ตัว
คนบางกลุ่มมีความนิยมกินอาหารสุกๆ ดิบๆ และเสี่ยงมากต่อการเป็นโรคพยาธิ เช่นเดียวกับชายคนงานก่อสร้างชื่อ Zhu Zhongfa อายุ 46 ปี ที่ต้องมีนิสัยชอบกินเนื้อหมูดิบ หรืออาหารที่ปรุงไม่ค่อยสุกดี กระทั่งจู่ๆเขาก็มีอาการชัก เกิดฟองที่ปาก และหมดสติไป
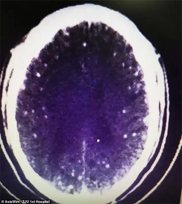
และเมื่อเขาถูกนำส่งโรงพยาบาลในเครือของคณะแพทยศาสตร์มหาวิทยาลัยเจ้อเจียง แพทย์ได้ทำการสแกนสมองและหน้าอก โดยการใช้คลื่นแม่เหล็กไฟฟ้า (MRI) และแพทย์ได้ตรวจพบว่าสมองและหน้าอกของนาย Zhu นั้นเต็มไปด้วยซิสต์ของพยาธิตัวตืดหมู
นอกจากนี้ ดร. หวาง ยังเปิดเผยว่า นาย Zhu ยังมีซีสต์ในปอดและกล้ามเนื้อหน้าอกด้วย คาดว่าน่าจะมีพยาธิตัวตืดบมากกว่า 700 ตัว ในร่างกาย รวมถึงสมองและปอด
การติดเชื้อพยาธิตัวตืด taenia, taeniasis เกิดขึ้นหลังจากที่ใครบางคนกินไข่พยาธิตัวตืดในหมูที่ปนเปื้อนหรือดิบ
ซีสต์เนื้อเยื่อทำให้เกิดการติดเชื้อ cysticercosis ซึ่งเป็นอันตราย โดยเฉพาะอย่างยิ่งเมื่อพวกเขาเกิดขึ้นในสมองหรือระบบประสาทการติดเชื้อที่รู้จักกันเป็น neurocysticercosis
ไข่อาจโตเป็นพยาธิเต็มวัยในเวลาประมาณสองเดือน สิ่งนี้สามารถเกิดขึ้นได้ในอวัยวะต่าง ๆ ของร่างกายมนุษย์รวมถึงกล้ามเนื้อผิวหนังดวงตา และระบบประสาทส่วนกลาง
ทั้งนี้มีรายงานว่า ก่อนหน้านี้ประมาณหนึ่งเดือน นาย Zhu เปิดเผยว่า เขาได้ไปกินหม้อไฟมา และเขาไม่แน่ใจว่าเนื้อหมูนั้นปรุงสุกดีหรือเปล่า
ในปี 2558 องค์การอนามัยโลกระบุว่า T. solium เป็นสาเหตุการตายอันดับต้น ๆ ของโรคที่เกิดจากอาหาร โดยปรสิตได้ถูกกำจัดให้หมดไปในสหรัฐอเมริกา และการติดเชื้อพยาธิตัวตืดนั้นหาได้ยากในสหราชอาณาจักร
โรงเรียนที่สอบติดคณะแพทยศาสตร์ม.ขอนแก่นมากที่สุด
ส่องเลขเด็ดปฏิทินคำชะโนด ลุ้นรวยต่อเนื่องงวด 16 เมษายน 2569
ปลาน้ำจืดที่มีมูลค่าสูงในปัจจุบัน
เปิดชื่อ 9 ประเทศ “น้ำดื่มถูกที่สุดในโลก”
เงินเดือนทหารไทย VS เงินเดือนทหารกัมพูชา
เปิดชื่อ 7 ปลาน้ำจืด ‘ราคาสูงที่สุดในไทย’ ไม่ใช่แค่ปลาน้ำเงิน
5 ท่าสัมผัสละลายใจ สร้างสายใยรักให้แน่นแฟ้น
5 อะไหล่รถยนต์ EV ที่แพงที่สุด
เปิดผลวิเคราะห์ AI หวยงวด 1 เมษายน 2569 รวมเลขเด่น 10 ชุด
มาดูอันดับความหล่อในเอเชีย หนุ่มไทยอยู่ในอันดับที่เท่าไหร่?
สินค้าที่ประเทศไทยส่งออกให้กัมพูชามากที่สุด
ต่างประเทศกินมาม่ารสไหนมากที่สุด ไม่ใช่รสที่คนไทยคิด
มีหมาจรอีกมากมายยังรอ “บ้านหลังสุดท้าย” อยู่ รีวิว "โกฮังหัวใจโกโฮม"
5 อะไหล่รถยนต์ EV ที่แพงที่สุด
หนังที่ทำเงินจากการฉายในประเทศไทย มากสุดเป็นอันดับหนึ่งตลอดกาล
เจาะลึกเทรนด์ "กงเต๊กสัตว์เลี้ยง" ธุรกิจมาแรงรับเช็งเม้ง เมื่อสัตว์เลี้ยงคือครอบครัว
วิธีแต่งตัวขึ้นเครื่อง ให้ผ่านด่านตรวจสนามบินฉลุย









