หนูน้อยบ่นปวดฟันกรามไม่รู้สาเหตุ พบหมอถึงกระจ่าง "ฟัน 526 ซี่" โผล่เต็มๆ
เรื่องน่าเหลือเชื่อต่อไปนี้ เกิดขึ้นกับเด็กชายอายุ 7 ขวบ จากประเทศอินเดีย หลังมีอาการบวมและปวดฟันกรามขวาด้านล่าง จนต้องเข้าพบทันตแพทย์
ตามรายงานระบุว่า เด็กชายคนนี้เข้ารักษาตัวเมื่อ 1 เดือนก่อนหน้านี้ ที่โรงพยาบาลทันตกรรมซาวีทา ในเมืองเจนไน รัฐทมิฬนาดู ทางใต้ของอินเดีย อาการเบื้องต้นคือปากบวมและเจ็บบริเวณฟันกรามขวาด้านล่าง
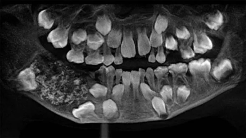
Dr. Prathiba Ramani หัวหน้าแผนกช่องปากและโรคขากรรไกรและใบหน้า เผยว่า ผลการเอกซเรย์กรามและช่องปากของเด็กชายคนนี้ พบว่าที่ขากรรไกรด้านล่างขวาพบบางอย่างคล้ายถุง ภายในเต็มไปด้วยฟันที่ผิดปกติ
Dr. Prathiba เผยว่า ทีมแพทย์ต้องใช้เวลาตรวจสอบถุงดังแล้ว และตัดสินใจผ่าตัด ใช้ศัลยแพทย์ 2 คน ใช้เวลาในการผ่าตัด 4 - 5 ชั่วโมง
ภาพจาก cnn
หลังจากผ่าตัดนำถุงดังกล่าวออกมาได้ พบว่าภายในเต็มไปด้วยฟัน 526 ซี่ มีตั้งแต่ขนาดเล็ก 01. มิลลิเมตร ไปถึง 15 มิลเมตร บางชิ้นที่เล็กๆ มีครอบฟัน, รากฟัน และเคลือบฟัน ซึ่งหมายความว่ามันคือ ฟันจริงๆ
ทั้งนี้ สาเหตุที่เกิดขึ้นนับเป็นเรื่องที่เกิดได้ยาก และไม่แน่ใจว่าเกิดจากอะไร แต่น่าจะเป็นเพราะพันธุกรรม หรือเป็นปัจจัยจากธรรมชาติ เช่น กัมมันตรังสี เบื้องต้น เด็กชายคนนี้ สามารถออกจากโรงพยาบาลได้หลังผ่าตัด 3 วัน และคาดว่าจะหายเป็นปกติ
ชาวบ้านงงงวย หลังเห็นลิงนับร้อย แห่วิ่งลงจากภูเขา
"กัมพูชา" อาการหนัก! เรียกร้องให้ประชาคมโลก แบนสินค้า "ไทย"
วิธีสังเกตภาพ AI ที่บางคนยังไม่รู้
มหากาพย์ทะเลไทย กัมพูชา และบทบาทลับของเวียดนาม
เขมรไม่ส่งนักกีฬามา "ซีเกมส์" ที่ไทย..อ้างเสียศักดิ์ศรีและไม่มีความปลอดภัย
มหาอุทกภัยภาคใต้-หาดใหญ่ จะเปลี่ยนโฉมหน้าการเลือกตั้ง 69 อย่างแน่นอน
“น้ำท่วมหาดใหญ่เมื่อปี 2516: ภาพประวัติศาสตร์ ‘ลุยน้ำไปดู The Godfather’ ที่โรงหนังเฉลิมไทย
จ๋าย ไททศมิตร” โพสต์แทงใจ ขอเห็นเป็นบุญตา รัฐบาลที่ประชาชนไม่ต้องพึ่งกันเอง
สาเหตุหลักของน้ำท่วมหนักในเมืองหาดใหญ่ พ.ศ. 2568
“อยู่กันได้ไง! ยูทูบเบอร์สาวต่างชาติสุดผิดหวัง สีหนุวิลล์ กลายเป็นเมืองแห่งด้านมืด—ขยะ หนูตาย คๅสิโนโกง ค่าที่พักแพงสะเทือนใจ”
อนุทิน” ลุกป้อง “ธรรมนัส” โต้ข่าวไร้แผนจัดการน้ำ ยัน “ธรรมนัส” ไม่ได้ทิ้งพื้นที่น้ำท่วม
ผู้สูงอายุญี่ปุ่นเกือบดับ หลังใช้ AI ระบุว่าเห็ดในป่ามีพิษหรือไม่
“ผู้เผชิญภัยที่พูดไม่ได้—เมื่อมนุษย์หนีน้ำได้ แต่สัตว์เลี้ยงกลับถูกทิ้งไว้เบื้องหลัง”
มหาอุทกภัยภาคใต้-หาดใหญ่ จะเปลี่ยนโฉมหน้าการเลือกตั้ง 69 อย่างแน่นอน
ชาวบ้านงงงวย หลังเห็นลิงนับร้อย แห่วิ่งลงจากภูเขา
"กัมพูชา" อาการหนัก! เรียกร้องให้ประชาคมโลก แบนสินค้า "ไทย"
สายมัทฉะห้ามพลาด! คาเฟ่สไตล์ญี่ปุ่นย่านรามคำแหง เสิร์ฟมัทฉะเข้มข้น หอมกลมกล่อมทุกแก้ว
😠 ลองเข้ามาดูความคิดแปลก ๆ ของผู้คนที่ไม่ปล่อยให้เรื่องน่ารำคาญใจเป็นปัญหามากวนใจพวกเขาอีกต่อไป 😆
ชาวบ้านงงงวย หลังเห็นลิงนับร้อย แห่วิ่งลงจากภูเขา
ยืนยันไม่มีเหตุ ฮ.ตก หาดใหญ่ สาเหตุแค่ ฮ.บินต่ำ ส่งของให้ชาวบ้านบนหลังคา ทําให้เกิดความเข้าใจผิด ว่า ฮ. ตก
นักพยากรณ์อากาศสาวสร้างความฮือฮาด้วยรูปร่างสุดฮอต
มหาอุทกภัยภาคใต้-หาดใหญ่ จะเปลี่ยนโฉมหน้าการเลือกตั้ง 69 อย่างแน่นอน
