สยองเลย!! ขูดหินปูน หมอฟันทำการ ขูดหินปูน ชายคนนี้ ถึงกับอึ้ง!?
หมอฟันทำการ ขูดหินปูน ชายคนนี้ ถึงกับอึ้ง!?
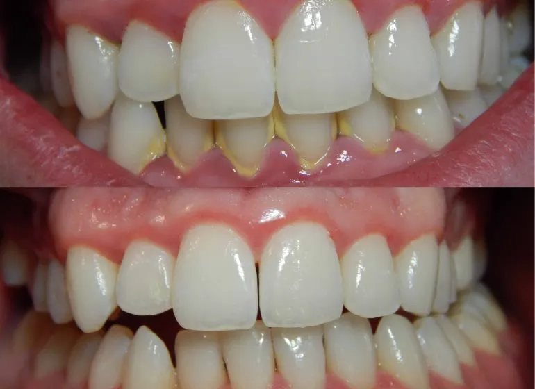
เมื่อผมตัดสินใจไป ขูดหินปูน แต่สิ่งที่เจอทำให้หลับไม่ได้เลยจริงๆ
หินปูนที่ฟัน คืออะไร?
หินปูน หรือที่บางคนเรียกว่า หินน้ำลาย เป็นการพัฒนามาจากคราบแบคทีเรีย พลาค (Plaque) หรือเรียกตามภาษาชาวบ้านว่า “ขี้ฟัน” มีลักษณะคล้ายฟิล์มใสๆ บางๆ เกาะตัวอยู่บริเวณโคนฟันใกล้ขอบเหงือก อาจมีสีออกเหลืองหรือเทาได้เล็กน้อย คราบเหล่านี้สามารถเกิดขึ้นได้แม้หลังการแปรงฟันเพียง 2-3 นาที เป็นเมือกใสๆ ของน้ำลายมาเกาะที่ตัวฟัน
คราบหินปูน เกิดขึ้นได้อย่างไร?
หินปูนเกิดจากการตกตะกอนของแคลเซียม และฟอสเฟต ซึ่งเป็นแร่ธาตุที่มีอยู่ในน้ำลาย ขณะที่เรากำลังทานอาหาร โดยเฉพาะอาหารประเภทคาร์โบไฮเดรต ที่มีแป้ง และน้ำตาล แล้วเราทำความสะอาดฟันไม่เพียงพอ แบคทีเรียที่อยู่ในปากของเรา ก็จะใช้น้ำตาลที่ติดอยู่ตามซอกฟันของเราเป็นแหล่งพลังงาน เพื่อสร้างกรด และสารพิษ
หากปล่อยทิ้งไว้นานๆ แคลเซียมในอาหารก็จะเข้ามาเกาะรวมอยู่ด้วย จนทำให้เกิดเป็นคราบแข็งที่ติดแน่นมาก จนกลายเป็นหินปูนที่เราไม่สามารถแปรงฟันออกได้ด้วยตนเองในที่สุด ต้องให้ทันตแพทย์เป็นผู้ขูดหินปูนออกให้เท่านั้น
ไม่ขูดหินปูนออกจากฟันได้ไหม?
บางคนไม่อยากไปขูดหินปูนออกจากฟัน เพราะไม่อยากเสียเงิน แต่หากปล่อยให้หินปูนมาเกาะที่ฟัน หรือทับถมเพิ่มขึ้นนานๆ เข้า ก็จะเป็นสาเหตุที่ทำให้เกิดฟันผุได้ และยังอาจลามไปถึงเหงือกอักเสบ หรืออาจถึงขั้นทำลายรากฟัน จนอาจต้องทำรากฟันเทียม ซึ่งเสียค่าใช้จ่ายมากกว่าการไปขูดฟันหลายเท่านัก
ป้องกันการเกิดคราบหินปูนได้อย่างไร?
หากเราแปรงฟันให้ถูกวิธี เราก็จะป้องกันการเกิดคราบหินปูนได้ เราควรแปรงฟันอย่างน้อยวันละ 2 ครั้ง ใช้ไหมขัดฟันหลังการแปรงฟัน รวมถึงการไปพบหมอฟันทุกๆ 6 เดือน เพื่อขูดเอาหินปูนออก
เมื่อผมตัดสินใจไป ขูดหินปูน แต่สิ่งที่เจอทำให้หลับไม่ได้เลยจริงๆ
https://www.youtube.com/watch?v=eOiX3lQknTg
🔮คุณเกิดวันไหน? มาทายนิสัย เปิดดวง ความรัก การเงิน ครบทั้ง 7 วันเกิด
ไทยระงับประกาศให้แรงงานกัมพูชาพาสปอร์ตหมดอายุอยู่ต่อ — ทำแรงงานสับสนทั้งประเทศ!
ทรัมป์ พลิกลิ้น ยกเลิกภาษีนำเข้าประเภทอาหาร
เปิดประวัติ ‘ทิว นรรัตน์’ ทายาทสมุนไพรไทย โปรไฟล์สุดปัง หล่อ–รวย–เก่งครบสูตร
สัญญาไทยไร้ค่า! อดีตเชลยศึกกัมพูชากลับสมรภูมิอีกครั้ง..แถมสื่อเขมรยังยกย่องเป็นวีรบุรุษ
เลขเด็ด "ปฏิทินท้าวเวสสุวรรณโณ" งวดวันที่ 1 ธันวาคม 68..รีบส่องเลย ก่อนหวยหมดแผง!!
ดราม่าลุกเป็นไฟ! นศ.สาว ม.ดัง แฉนักแสดงหนุ่มนอกใจ ทั้งที่เลี้ยงดูมา 4 ปีเต็ม
ไม่ต้องลงทะเบียนซ้ำ! เช็กเลย ใครบ้างได้สิทธิเฟส 2 ต่ออัตโนมัติ
กัมพูชา ส่งใบรับรองด้านเทคโนโลยีสารสนเทศ ไม่ทัน ขอเลื่อนประชุมก่อนการสำรวจ-ปักหมุดชั่วคราว
ชูวิทย์ โพสต์ข้อความตั้งคำถาม นายกอนุทิน งบ MotoGP 4 พันล้าน ใช้เวลาแค่ 5 วันอนุมัติ ต่างกับงบน้ำท่วม ทำไมไม่รวดเร็วแบบนี้บ้าง ถามแบบนี้เรียกสแกมกันเองรึเปล่า
Apple Watch แพ้คดีสิทธิบัตรต้องจ่ายเงินกว่า 2 หมื่นล้านบาท
เลขเด็ด "อ.น๊อตตี้" งวดวันที่ 1 ธันวาคม 68..มาอย่างไว! จัดไปเน้นๆ
กัมพูชา ส่งใบรับรองด้านเทคโนโลยีสารสนเทศ ไม่ทัน ขอเลื่อนประชุมก่อนการสำรวจ-ปักหมุดชั่วคราว
พบหมีอีกครั้งในญี่ปุ่น! หมีบุกเข้าไปในร้าน AEON ที่อยู่ห่างจากสถานีรถไฟ JR เพียง 750 เมตร
แรงงานกัมพูชากังวลหนัก! หลังรัฐบาลไทยชะลอต่ออายุใบอนุญาตทำงาน กระทบชีวิต-รายได้เป็นวงกว้าง
ทรัมป์ พลิกลิ้น ยกเลิกภาษีนำเข้าประเภทอาหาร
"เช เกบารา" (เช ยังไม่ตๅย) นักปฏิวัติอมตะ กับการกลายเป็นภาพสติ๊กเกอร์ขวัญใจชาวรถบรรทุกและชนชั้นแรงงานมากมาย
สัญญาไทยไร้ค่า! อดีตเชลยศึกกัมพูชากลับสมรภูมิอีกครั้ง..แถมสื่อเขมรยังยกย่องเป็นวีรบุรุษ
ใบปอ ธิติยา @ GRAZIA Singapore November 2025
Liu Shishi @ Marie Claire China October 2025
(วันวาน) ติ๊ก-เจษฎาภรณ์ @ นิตยสาร iDee no.14 November 2004
ถอดโชว์เรือนร่าง 2959
กัมพูชา ส่งใบรับรองด้านเทคโนโลยีสารสนเทศ ไม่ทัน ขอเลื่อนประชุมก่อนการสำรวจ-ปักหมุดชั่วคราว
พบหมีอีกครั้งในญี่ปุ่น! หมีบุกเข้าไปในร้าน AEON ที่อยู่ห่างจากสถานีรถไฟ JR เพียง 750 เมตร
ชูวิทย์ โพสต์ข้อความตั้งคำถาม นายกอนุทิน งบ MotoGP 4 พันล้าน ใช้เวลาแค่ 5 วันอนุมัติ ต่างกับงบน้ำท่วม ทำไมไม่รวดเร็วแบบนี้บ้าง ถามแบบนี้เรียกสแกมกันเองรึเปล่า
สายการบินประกาศล้มละลายอีกแล้ว ขาลงของอุตสาหกรรมการบิน







